Features
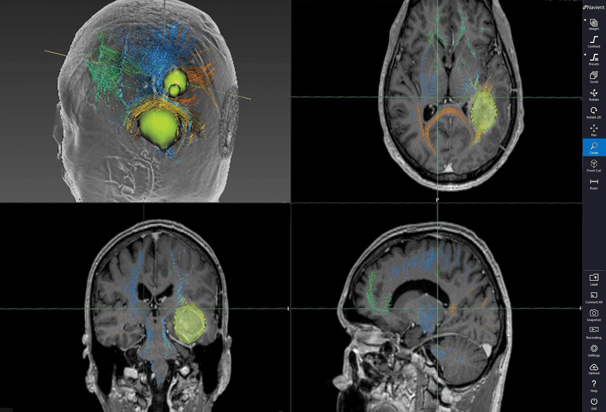
From intelligent workflows to advanced navigation algorithms, Navient delivers the tools surgical teams need for accurate planning, fast setup, and reliable intraoperative guidance.

Reusable, sterilizable instruments designed for long-term surgical performance and consistent navigation accuracy across procedures


Open spinous clamp
Percutaneous surgery unit
Patient reference frame
Pedicle probes straight
Pedicle probe curved
Navigated awl
Registration probe
Universal trackers
Tip calibrator
Clamp tool handle
Sterilization tray
Spine Instruments


Articulated arm
Two cranial reference frames
Straight probe
Registration probe
Microscope probe
Tip calibrator
Sterilization tray
Cranial Instruments


Articulated arm
Dual adaptor
Biopsy aiming device
Biopsy probe
Reducing tubes for biopsy needle
Sterilization tray
Biopsy Instruments


Bayonet probe
Registration probe
Maxillary seeker
Frontal seeker
Universal tracker
Patient tracker
Tip calibrator
C-clamps
Sterilization tray
ENT Instruments

Precision Navigation, powered by your existing C-arm.

Click Here to See More
Navient Air™ is a breakthrough in surgical navigation, delivering rapid, high-precision patient registration without physical contact or manual surface tracing.
Powered by advanced 3D surface scanning, Navient Air digitally captures the patient’s anatomy and performs automatic, operator-independent registration in seconds, bringing consistency, speed, and reliability to every case.

Regulatory Compliance
ClaroNav Kolahi Inc. is proud to report that it has achieved and maintains compliance with regulatory requirements throughout the world.
Our products are designed and manufactured under our ISO 13485:2016 and FDA-compliant Quality Management System and our products are certified to all applicable standards.
Scientific Evidence
Technology Backed by Clinical Evidence
Clinical studies, peer-reviewed publications, and independent research demonstrating the accuracy, safety, reliability, and clinical effectiveness of Navient navigation technologies across multiple surgical specialties and real-world procedural environments
General Specifications
Navient System Specifications and Technical Overview
The Navient surgical navigation system is engineered to deliver high accuracy, reliable performance, and efficient integration within modern operating rooms. Below are the core technical specifications that define the system’s hardware, tracking technology, and clinical capabilities.
Events
Meet the Navient Team at Global Medical Events
Join us at leading neurosurgery, spine, and medical technology conferences where we showcase Navient innovations and connect with the surgical community.

Social Media
Contact
Connect with our team to learn how Navient can support your surgical practice, research initiatives, or hospital technology strategy.
Address
1140 Sheppard Avenue West Unit 10
Toronto, Ontario, Canada M3K 2A2
Phone +1 (647) 951-1525
Toll Free 1 (844) 628-4336
Fax +1 (647) 951-1524
Email info@claronav.com




















