
View Brochure
Smart Solution for Enhanced Productivity
Quick and easy set up
Navient is designed for convenient routine use. There are no cables to connect, no spherical markers to mount, no head straps to wrap, no field generator to place, and no consumables to order.
Fast Registration
Navient uses an innovative registration technology which is accurate, reliable, and fast. The process takes less than a minute to complete.
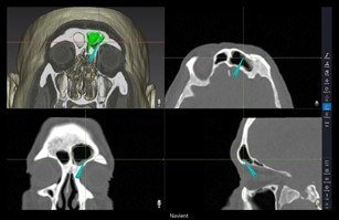
Optical System
Navient uses an innovative registration technology which is accurate, reliable, and fast. The process takes less than a minute to complete.


Universal Tracker
attached on a shaver
Navient peel & stick Patient Tracker
• For inpatient and outpatient interventions
• Seamless integration with office practices
• Increase your efficiency and reduce stress
• Operate safer and lower harm to patient
• Affordable and no consumables
• Powerful and intuitive software features

Reusable Instruments
Ergonomic Instruments
• Pre-calibrated navigation instruments equipped with permanent markers
• Universal Tracker adaptor clamps easily to any suction tube, debrider or balloon dilation system
• Calibrator instrument calibrates the tips of instruments in a few seconds
• Verify instrument tip accuracy in the zoom window
• Steam sterilizable navigation instruments
• Reusable peel & stick patient tracker
• No consumables

Sleek, Compact and Portable
Streamlined User Interface
Navient’s software user interface is intuitive and simple to follow. Once data is loaded, Navient software operation proceeds sequentially through 6 stages as follows:
Images
Load CT or MRI images from USB, DVD or PACS

Image Fusion
Merge CT and MRI images (Optional)
Planning
Build 3D model of sinus (Optional)
Set Up
Position the tracker, calibrate new instruments and check their tip accuracy
Registration
Landmark based and trace based
Navigation
Navigate in 3D & 2D views, Smart 3D front clip, display 3D sinus model

General Specifications
Tracking System
• Infrared optical tracking system
• Live video stream
• 16 frames per second
• 0.2mm calibration accuracy
• Permanent markers
• Reusable and sterilizable instruments
Computer
• 16 inch LED-backlit display
• Intel core i7 quad core processor
• 16GB DDR4 RAM
• 512GB Solid State Drive
• Additional monitor support
Software
• Import Dicom images from DVD, USB and PACS
• Fast and accurate image fusion
• 3D sinus modeling and navigation
• Trace and Landmarks registration
• Smart 3D automatic front clip
• Easy manipulation of 2D and 3D images
• Video documentation of surgical operation
• Warnings issued if line of sight interrupted
• Gesture based user interface control
• Smart Zoom magnifies navigation area
• Instrument tip accuracy verification
• Remote support and software updateeye views
• Video documentation of surgical operation
Cart
• Foldable and Portable
• Lightweight 26kg
• Compact size 40 (W) x 45 (D) x 100 (H) cm (when extended: 160 (H) cm)
• Omni directional front wheels
• 120V; 220-240V, 1A, 50/60Hz AC power supply

© Copyright 2026 | All rights reserved.
Not all devices or features are approved or cleared for sale in every jurisdiction. Please contact ClaroNav Kolahi Inc. for region-specific details







